Aandoeningen
            Traumatologie
            Algemeen
            Traumatologie is een zeer ruim begrip gezien de verspreiding van de soorten letsels, de ernst ervan, de oorzaak en de afloop met of zonder blijvend letsel. Denk maar aan een kneuzing of hematoom, een gesloten of open breuk, of een ontwrichting, of in ergere gevallen zelfs een afrukking van een lidmaat. 
Meestal beperkt tot één of twee lokalisaties, wordt het trauma als polytrauma beschouwd wanneer naast breuken eveneens andere organen aangetast worden (thorax, buik, hersenen). Desgevallend gaat het meestal om een pluridisciplinaire aanpak van de letsels, met gecoördineerde behandelingen door verschillende geneesheren.
 
            
            
            
                
                Vaakst voorkomende traumata
                
                
                De vaakst voorkomende traumata zijn door val met “lage energie” veroorzaakt, namelijk vooral polsfracturen en sleutelbeenfracturen bij kinderen, maar ook door osteoporose geïnduceerde fracturen bij oudere volwassenen. Meestal worden dan de heup, de pols, de enkel, de schouder of de wervels geraakt.
 
                
                
            
            
            
                
                
                Ongevallen in de thuisomgeving zijn de meest voorkomende, daarna volgen de sport-, school-, werk-, en verkeersaccidenten, waarbij naast breuken ook gewrichtsontwrichtingen, scheur van ligamenten en wonden (of zelfs inwendige letsels) voorkomen. Elk letsel is afhankelijk van de krachtverdeling bij het trauma.
                
                
            
            
            
                
                Basisbehandeling
                
                
                Die arts zal beslissen of een verband of een gipsspalk volstaat als startbehandeling (eventueel na advies van de assistent of van de van wacht zijnde orthopedisch chirurg), waarna een gesloten gips voor enkele weken wordt aangbracht. Vaak wordt de gecontacteerde orthopedisch chirurg gevraagd voor advies omtrent gespecialiseerde behandeling, al dan niet met hospitalisatie: meestal voor operatieve fixatie of osteosynthese, al dan niet een gewrichtsprothese. Hierdoor kan het wat duren op de spoeddienst tot ontslag of hospitalisatie.
                
                
            
            
            
                
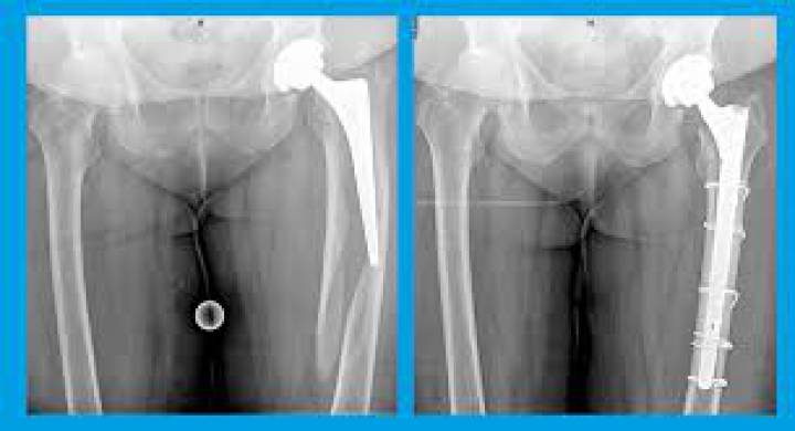
                Operatieve behandeling
                
                
                Als een osteosynthese of een gewrichtsprothese volgt, betekent dat een operatieve behandeling in de operatiezaal, in opname of dagziekenhuis, waarbij pinnen, schroeven, platen, cerclagedraden, externe fixateur of intramedullaire (intraosseuze) nagels, al dan niet een (meestal schouder- of heup-) prothese.
                
                
            
            
            
                
                Revalidatie
                
                
                Na een interne fixatie van de breuk, tenzij die niet voldoende stabiel geacht wordt voor oefeningen en bewegingen, o.a. door de comminutie of plurifragmentatie of door de osteoporose, is er geen gips meer nodig en de revalidatie kan starten met oefeningen meestal via een kinesitherapeut. 
                
                
            
            
            
                
                Breuken bij kinderen
                
                
                Breuken bij kinderen worden therapeutisch anders benaderd gezien onderliggende groeischijven: orthopedische reductie, fixatie met pinnen of met aangepaste intramedullaire nagels.
                
                
            
            
            
                
                Breuken door veroudering
                
                
                Door de veroudering van de bevolking en een lagere drempel om versleten gewrichten (vooral heup, knie en schouder) te vervangen door een prothese, komt de laatste jaren een ander fenomeen in de zin van fracturen rond de protheses, of periprosthetische fracturen genoemd. Deze resulteren vaak in een moeilijke therapeutische uitdaging en in een zwaardere chirurgie.
                
                
            
            
            
                
                Pathologische fracturen
                
                
                Pathologische fracturen zijn breuken die zonder trauma ontstaan, of die door een minimaal trauma op voorafbestaande toestand gebeuren, en ook volgens dezelfde basisprincipes van immobilisatie of osteosynthese behandeld worden. Die breuken gebeuren meestal op cysten, gezwellen of tumoren (metastase), en infectie (osteomyelitis). Bijkomende therapie gericht op de oorzaak moet dan ook voorzien worden.